Ad AML coverage from every angle. Latest news reports from the medical literature videos from the experts and more.
Acute Megakaryoblastic Leukemia In A Patient With Xeroderma Pigmentosum Discussion Of Pathophysiological Prognostic And Toxicological Aspects Semantic Scholar
Acute megakaryoblastic leukemia unlike acute erythroid leukemia predicts an unfavorable outcome after allogeneic HSCT.

Acute megakaryoblastic leukemia. It can occur at any age. It occurs in all age groups with two peaks in distribution. Acute megakaryoblastic leukemia is a rare and rapidly fetal disorder characterized by extensive proliferation of megakaryoblasts and atypical megakaryocytes in bone marrow and extramedullary sites thrombocytopenia and only a few blasts in peripheral blood.
Duchayne E Fenneteau O Pages MP Sainty D Arnoulet C Dastugue N Garand R Groupe Français dHématologie Cellulaire Groupe Français de Cytogénétique Hématologique GFCH Flandrin G. Acute megakaryoblastic leukemia acute megakaryocytic leukemia a form of acute myelogenous leukemia in which megakaryocytes are predominant and platelets are increased in the blood often with fibrosis. Acute myeloblastic leukemia AML is a group of malignant bone marrow neoplasms of myeloid precursors of white blood cells.
Ncbinlmnihgov Entire Body System. Called also megakaryoblastic or megakaryocytic leukemia. A rare acute myeloid leukemia that occurs predominantly in childhood and particularly in children with Down syndrome DS-AMKL.
Bone marrow biopsy frequently demonstrates extensive myelofibrosis often making aspiration in these patients difficult. AMKL is defined as an AML with 20 blasts of which 50 or more are of the megakaryocyte lineage. Acute megakaryoblastic leukemia AMKL is a rare malignancy affecting megakaryocytes platelet-producing cells that reside in the bone marrow.
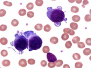
Nonspecific symptoms may be irritability weakness and dizziness while specific symptoms include pallor fever mucocutaneous bleeding hepatosplenomegaly neurological manifestations and rarely. Latest news reports from the medical literature videos from the experts and more. The aspirate showed frequent medium to large megakaryoblasts with pale blue-gray to basophilic cytoplasm high nucleus-to-cytoplasm ratio pseudopod formation and cytoplasmic projections resembling budding atypical platelets panels A-B.
Acute megakaryoblastic leukemia is divided into three groups AMKL in children with Down syndrome DS-AMKL AMKL in children who do not have Down Syndrome non-DS-AMKL and AMKL in non-DS adults AMKL adultsThe basis of the diagnosis of AMKL or AML-M7 according to FAB is the presence of megakaryocyte line cells as many as 30 or more of all cells. The one is in adults and the other in children 1 to 3 years of age especially in those with Downs syndrome. Ad AML coverage from every angle.
Acute megakaryoblastic leukemia AMKL is one form of acute myelogenous leukemia AML. About 1 percent of all pediatric leukemias are AMKL. Acute Megakaryocytic Leukemia AMKL is a subtype of AML characterized by abnormal megakaryoblasts that express platelet-specific surface glycoprotein.
It is classified as M7 according to the FAB system. This disease is defined as any malignancy that affects the bodys bone marrow and production of infection-fighting white blood cellsthe cancerous cells multiply rapidly and crowd out the healthy cells in the bone marrow which lowers a patients. Children with Down syndrome DS are particularly prone to developing the disease and have a different age of onset distinct genetic mutations and better p.
Acute megakaryocytic leukemia M7-AML is a rare form of acute myeloid leukemia AML which is associated with poor prognosis. It represents approximately 1 of all leukemias during childhood and has an incidence of. Acute megakaryoblastic leukemia acute megakaryocytic leukemia a form of acute myelogenous leukemia in which megakaryocytes are predominant and platelets are increased in the blood often with fibrosis.
Acute megakaryocytic leukemia AML M7 is a rare type of acute myelogenous leukemia in adults commonly presenting with myelofibrosis. There were three cases of megaloblastic anemia cases 56 407 and 79 Table 3. A diagnosis of AML-M0 relapsing as acute megakaryoblastic leukemia AML-M7 was made.
It can occur at any age. Acute megakaryoblastic leukemia AMKL also called acute megakaryocytic leukemia is a very rare type of blood cancer that most often affects children. Acute megakaryoblastic leukemia AMKL is a rare form of leukemia.
In 1985 acute megakaryoblastic leukemia was included in the FAB classification system of hematological neoplasias with the designation of AML M7. Acute megakaryoblastic leukemia AML-M7 is a rare type of pediatric AML. However adults can also develop this disease.
A national clinical and biological study of 53 adult and childhood cases by the Groupe Français dHématologie Cellulaire GFHC. It is characterized by a proliferation of 20 megakaryoblasts identified by specific antigens using flow cytometry with associated extensive myelofibrosis of the bone marrow.
M7 Acute Megakaryoblastic Leukemia Amkl Download Scientific Diagram
Acute Megakaryoblastic Leukemia Wikipedia
Clinical Diagnosis Of Adult Patients With Acute Megakaryocytic Leukemia
Acute Megakaryoblastic Leukemia
Bone Marrow Smears Of Acute Megakaryoblastic Leukemia Amkl Patients Download Scientific Diagram
Acute Megakaryoblast Page 4 Line 17qq Com
Pdf Acute Megakaryoblastic Leukemia
Neonatal Acute Megakaryoblastic Leukemia Mimicking Congenital Neuroblastoma Kawasaki 2015 Clinical Case Reports Wiley Online Library
Figure 3 From Megakaryoblastic Leukemia In A Dog Semantic Scholar
Leukemia On Twitter Acute Megakaryoblastic Leukemia Amkl Is A Subtype Of Acute Myeloid Leukemia Aml Characterized By Abnormal Megakaryoblasts That Express Platelet Specific Surface Glycoprotein For More Details Https T Co Yut3oyiyte
Neonatal Acute Megakaryoblastic Leukemia Presenting With Leukemia Cutis And Multiple Intracranial Lesions Successfully Treated With Unrelated Cord Blood Transplantation
Chemotherapy In Canine Acute Megakaryoblastic Leukemia A Case Report And Review Of The Literature In Vivo
Acute Megakaryoblastic Leukemia Amkl M7 Flow Cytometry
Acute Megakaryoblastic Leukemia 1
No comments:
Post a Comment
Note: Only a member of this blog may post a comment.